Kentucky Mother Issues Urgent Warning About Vaping After Son's Double Lung Collapse
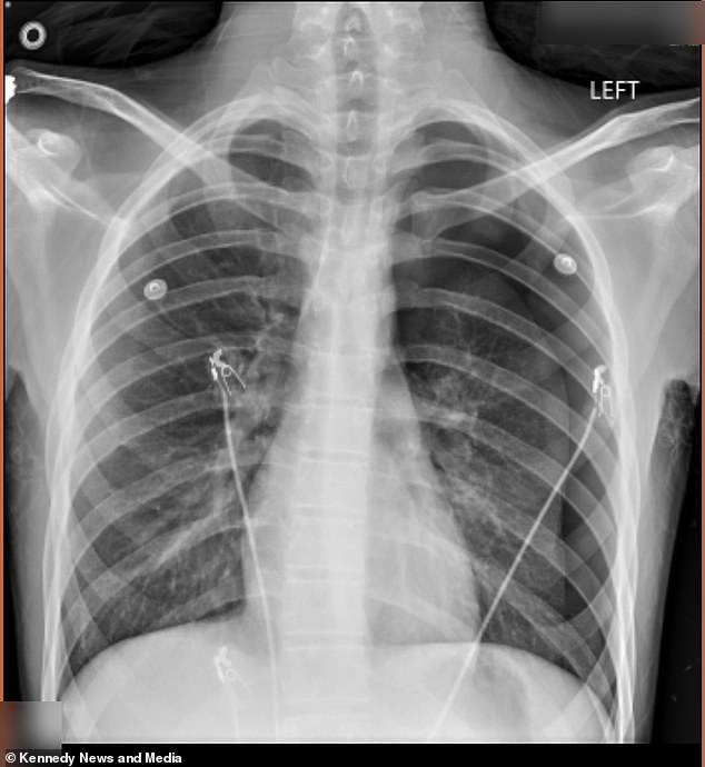
A Kentucky mother is speaking out in a desperate bid to warn other parents about the dangers of vaping, after her 17-year-old son suffered two collapsed lungs from the habit. Cameron Vann, known to friends as 'Dodge,' began vaping two years ago to 'look cool' at school, a decision he kept hidden from his mother, Crystal Vann. The secret came to light in September 2025, when Dodge emerged from the school bus pale and in severe back pain. His mother rushed him to the emergency room, where a chest x-ray revealed a pneumothorax—a collapsed lung—with 50 percent of his left lung affected. Doctors had to insert an 18-inch tube into his chest to remove the excess air and allow his lung to re-expand. Despite the surgery, Dodge continued vaping in secret, unaware of the risks he was taking.

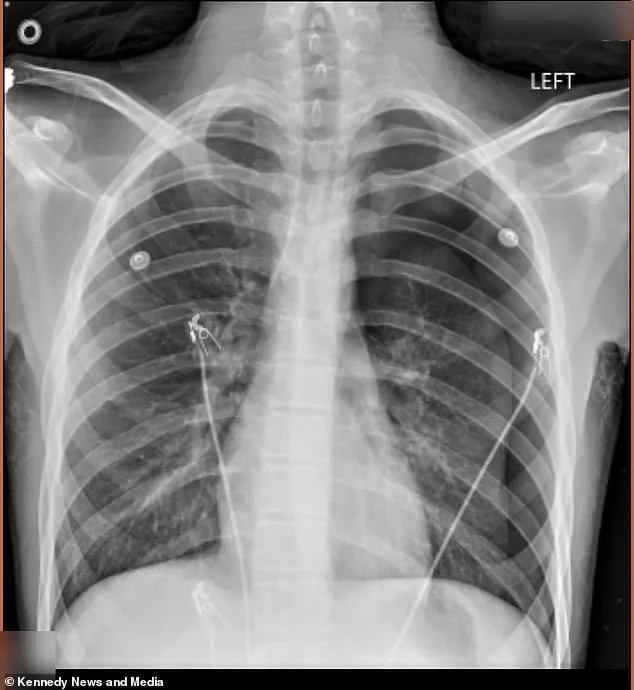
The second collapse came in January 2026, when Dodge called his mother in excruciating pain, unsure whether his symptoms were related to his lungs. This time, doctors warned that he could have died in the hospital lobby. The second surgery was more severe: a pleurodesis, where doctors scraped the lining of his lung and stapled air-filled blisters called blebs to the top of his lung. They then reattached the lung to the chest wall. 'He went through a lot,' Vann said. 'I thought, "Why him?" I feared he was going to die.' Her son's friends had tried vaping first, but Dodge followed suit, a decision he now regrets deeply.

The case highlights a growing public health crisis. According to CDC data from 2024, roughly 6 percent of U.S. adults—about 17 million people—vape regularly, with the highest rates among young adults aged 18 to 24. Among children, nearly 1.6 million middle and high school students vape, though usage has declined since its peak in 2019. While vaping has long been marketed as a safer alternative to smoking, which causes nine out of ten lung cancer cases, emerging research suggests otherwise. Studies link vaping to long-term risks such as high blood pressure, stroke, and even cancer. In 2024, doctors published a case in a medical journal about a New Jersey man who died from aggressive lung cancer directly tied to e-cigarettes, marking the first such case on record.
Vaping devices heat a liquid containing nicotine, flavorings, and toxic chemicals, producing an aerosol that delivers harmful substances deep into the lungs. These include formaldehyde, acetaldehyde, and other volatile organic compounds known to cause cancer. Over time, this damage can lead to DNA mutations and inflammation, increasing cancer risk. For Dodge, the damage is already visible. After quitting 'cold turkey' following his second collapse, he still experiences lingering pain in his left side, which worsens when he wears clothes or speaks. 'Even putting on a shirt feels awful,' he said. 'Talking vibrates it sometimes, and it hurts so much. I get stabbing pains in my side and can't go to school.'

Crystal Vann has become a fierce advocate for stricter regulations. She now calls for a nationwide ban on all vapes, fearing other children will suffer the same fate. 'I don't want another kid going through it,' she said. 'Don't do it just to be cool.' Dodge, who once dreamed of a future free from pain, now lives with the fear that his lung might collapse again. 'I've had nightmares about it,' he admitted. His mother has set up a GoFundMe page to help cover his medical costs, but the emotional toll is far greater. 'He's so little,' Vann said. 'He's been so brave, but he's also scared.' For parents, the message is clear: the pursuit of 'cool' can come at a deadly cost.
Photos